即時新聞
警察巡邏到您家 馬年好運跑進家                迎新祈福!法寶寺舉辦年度祈福活動 高虹安市長祈市民平安                南投埔里鎮1至5歲兒童生日禮金首發               

首頁/醫衛健康/B肝10多年未追蹤成晚期肝癌 呼吸調控放療找回生機

B肝10多年未追蹤成晚期肝癌 呼吸調控放療找回生機

(記者葉靜美/彰化報導)53歲詹姓男子為B肝患者,因為沒症狀而未進行追蹤,直至今年中覺得肚子脹脹、悶悶的,檢查發現右肝部位出現10公分大的腫瘤,並已經擴散到肝門靜脈,已是晚期肝癌;所幸經口服標靶藥物加上呼吸調控放射線治療,1個月後,肝門靜脈的腫瘤幾乎都消失了,重燃換肝希望。

202208111654498Sg1
呼吸調控放射線治療。(記者葉靜美翻攝)
 
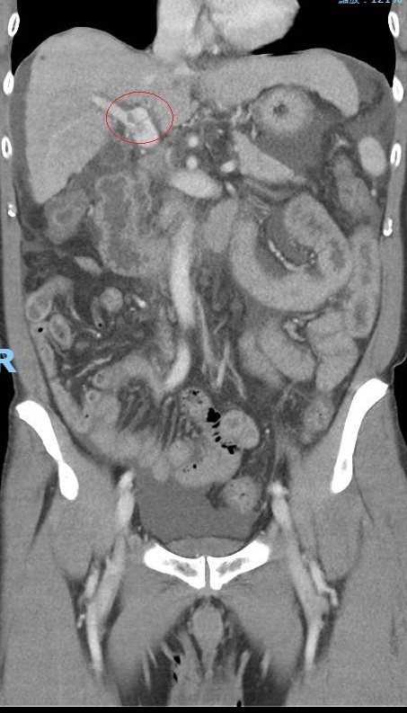
詹男為晚期肝癌,腫瘤並已侵犯肝門靜脈,衛福部彰化醫院腫瘤中心主任宋時雨說,肝門靜脈將營養送進肝臟,是供應肝臟養分的主要命脈,肝癌細胞只要侵犯肝門靜脈就屬於第三期,容易引發肝內癌轉移及遠處器官轉移,治療更加困難。

20220811165542WH5C
53歲詹姓男子擴散到肝門靜脈的腫瘤。(記者葉靜美翻攝)
 
由於患者的哥哥多年前也罹肝癌,經過肝臟移植後,目前過得很好,這讓患者認為只有換肝能處理他的肝癌,但他到了多家醫學中心,醫師都認為即使換肝,肝門靜脈的癌細胞還是會擴散過來,換肝並不可行,但他又執著於換肝,在各大醫院間穿梭,無法進入換肝評估,讓詹男心生放棄之念。
 
宋時雨說,他請詹先生不要放棄希望,建議先處理肝門靜脈的腫瘤,透過精準定位的呼吸調控放射線治療及口服標靶藥物,希望能將此處的癌細胞消滅,屆時就可以進入肝臟移植或腫瘤栓塞治療。

202208111656034c4e
詹男肝門靜脈的腫瘤幾乎消失。(記者葉靜美翻攝)
 
呼吸調控放射線治療是利用氣閥和口含吸管讓患者閉住呼氣,減少腫瘤隨著呼吸移動,患者自己手持按鈕,在閉氣時將放射線施予腫瘤位置,因此可提高放射劑量,確保每次治療都能夠準確破壞腫瘤,避免傷害正常組織。
 
經過1個多月15次放療之後,詹先生的肝門靜脈腫瘤幾乎消失了,也順利地進入外科手術評估,目前正評估肝臟移植及腫瘤栓塞治療,重燃一絲希望。

20220811165638p6t5
彰化醫院腫瘤中心主任宋時雨強調,B肝帶原者一定要定期每半年追蹤一次;即使已經走到無法器官移植的地步,也可透過其他醫療技術達到治療的目的,不要輕言放棄。(記者葉靜美翻攝)

宋時雨強調,此個案凸顯了2個健康課題,首先,衛福部估計全台約有180萬B肝帶原者,這些人一定要定期每半年追蹤一次,一有異狀即可早期治療,避免走到肝癌晚期才發現的命運;其次,醫療技術持續進展,即使已經走到無法器官移植的地步,也可透過其他醫療技術達到治療的目的,還是有機會突破,不要輕言放棄。

精選新聞