即時新聞

首頁/醫衛健康/健身教練車禍重創 微創肋骨手術重拾生命熱情

健身教練車禍重創 微創肋骨手術重拾生命熱情

(記者葉靜美/彰化報導)員林市一名健身教練日前發生嚴重車禍,導致肋骨斷裂插入肺臟,造成脾臟破裂,生命垂危,手術後雖恢復意識,但左胸肋骨斷了8根,連呼吸都疼痛萬分,所幸經微創肋骨手術,只在後背開了9公分傷口,讓他重拾生機。

20230309202535IdIY
健身教練李政錡原本左胸肋骨讓他呼吸、睡覺、翻身都很痛,覺得生不如死,動完微創手術後雖因左大腿骨折未痊癒,必須坐著輪椅,但已開始進行物理及職能復健。(記者葉靜美翻攝)
 
「以前的我可是虎背熊腰!」健身教練李政錡秀出過去的照片,肌肉結實,體態健美,在員林當健身教練小有名氣,甚至有83歲的老阿公慕名而來。但1個月前李政錡下班騎機車回家途中,被車子攔腰撞上,噴飛了幾公尺,他就此昏迷。
 
收治的彰化醫院指出,病人到院後情況危急,外科及骨科醫師聯手接力手術,止住破裂脾臟及左肺出血,以及固定左大腿骨的粉碎性骨折,救回一命。

202303092026076cU5
健身教練李政錡秀出過去的照片,肌肉結實,體態健美。(李政錡提供)
 
李政錡說,動完重大手術之後,他已經甦醒,全身都很痛,但最痛的是呼吸、咳嗽時牽動到斷裂的左胸肋骨,讓他疼痛到難以言喻,連最強的嗎啡都止不了痛。
 
為此,彰化醫院胸腔外科主任林聿騰為李政錡施以微創肋骨手術,他表示,雖然傷者左胸肋骨幾乎全斷,範圍很大,但以最新的設備,配合3D胸廓重組影像的精準定位,用最小傷口的微創手術進行復位,再以肋骨專用的鈦合金板固定,將傷口縮小到只有9公分。

20230309202657qz07
3D胸廓重組影像,左胸肋骨很多斷裂。(記者葉靜美翻攝)
 
林聿騰強調,肋骨斷裂若不處理,骨頭也會自行慢慢癒合,但對於斷了3根以上及錯位嚴重、胸壁穩定性受影響者,癒合可能達半年且可能癒合不良,也可能發生氣胸、血胸等情況,又要忍受長期劇痛,還是建議採微創手術,才能早日回復正常生活。

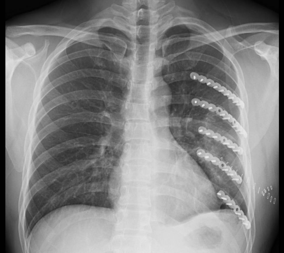
20230309202720KP5k
微創肋骨手術後的x光片。(記者葉靜美翻攝)
 
李政錡指出,原本左胸肋骨讓他呼吸、睡覺、翻身都很痛,覺得過往如浮雲,生不如死,人生沒有希望,動完微創手術後,不到2天,胸部的疼痛消失大半,可以大口呼吸,感受到新鮮的空氣,重拾他對人生的希望。

202303092027470GLl
彰化醫院胸腔外科主任林聿騰強調,對於斷了3根以上及錯位嚴重、胸壁穩定性受影響者,建議採微創手術。(記者葉靜美翻攝)
 
李政錡表示,以前他的體脂肪率只有12%,深蹲可背負170公斤重物,現在明顯「消風」,肌肉鬆垮。為了再回到熱愛的健身場域,回復健美的身形,即使左大腿骨折還未痊癒,必須坐著輪椅,他也已經在治療師的指導下,開始進行物理及職能復健,對人生依舊充滿希望和熱情。

精選新聞